Penyakit Hemofilia, Kenali Jenis dan Penyebabnya!
Shella Salsabila | Beautynesia
Selasa, 03 Mar 2020 11:00 WIB
https://oss.beautynesia.id/photo/temporary/02d96f5d19598eeac9446acc9bc7ffcf.jpeg
Terdapat berbagai macam penyakit diluar sana, salah satunya hemofilia. Beberapa dari kita mungkin telah akrab mendengarnya, namun tidak menutup kemungkinan terdapat yang tidak mengetahuinya. Berikut penjelasan penyakit Hemofilia, jenis dan penyebabnya.
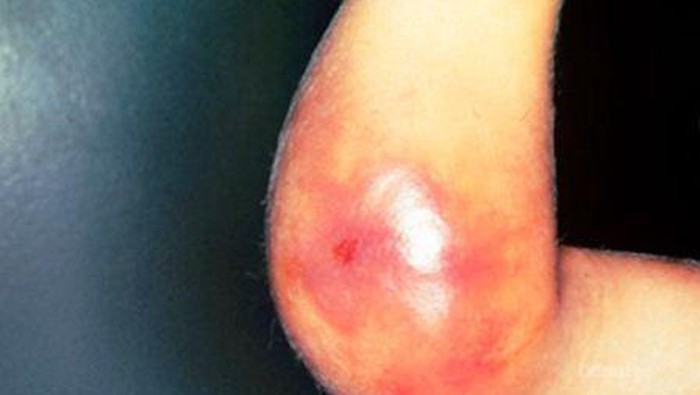
Penyakit langka yang menghambat pembekuan darah ini, membuat penderitanya kekurangan protein sehingga pendarahan akan berlangsung lebih lama dari orang normal pada umumnya.
Terdapat berbagai macam penyakit diluar sana, salah satunya hemofilia. Beberapa dari kita mungkin telah akrab mendengarnya, namun tidak menutup kemungkinan terdapat yang tidak mengetahuinya. Berikut penjelasan penyakit Hemofilia, jenis dan penyebabnya.
Hemofilia sendiri merupakan penyakit genetik dan sebagian besar pengidapnya adalah pria. Hal itu terjadi karena pria memiliki satu kromosom X dan satu kromosom Y dan hemofilia bersarang pada kromosom X. Sedangkan wanita mempunyai dua kromosom X sehingga menjadi pembawa gen hemofilia.
Hingga saat ini Hemofilia belum bisa disembuhkan, oleh karena itu pemeriksaan skrining Hemofilia sebelum menikah sangat dianjurkan. Hemofilia sendiri terbagi menjadi tiga jenis. Digolongkan berdasar tingkat pendarahan dan sukarnya darah membeku.
Jadi, bagaimana tanggapan Beautynesian? Baik ringan, sedang, dan berat, tentunya kita harus mengerahkan segala upaya agar terhindar dari penyakit ini. Jaga selalu kesehatan jiwa dan raga kalian. Jangan sampai terjangkit penyakit ini ya!
Penyakit langka yang menghambat pembekuan darah ini, membuat penderitanya kekurangan protein sehingga pendarahan akan berlangsung lebih lama dari orang normal pada umumnya.
Terdapat berbagai macam penyakit diluar sana, salah satunya hemofilia. Beberapa dari kita mungkin telah akrab mendengarnya, namun tidak menutup kemungkinan terdapat yang tidak mengetahuinya. Berikut penjelasan penyakit Hemofilia, jenis dan penyebabnya.
Hemofilia sendiri merupakan penyakit genetik dan sebagian besar pengidapnya adalah pria. Hal itu terjadi karena pria memiliki satu kromosom X dan satu kromosom Y dan hemofilia bersarang pada kromosom X. Sedangkan wanita mempunyai dua kromosom X sehingga menjadi pembawa gen hemofilia.
Hingga saat ini Hemofilia belum bisa disembuhkan, oleh karena itu pemeriksaan skrining Hemofilia sebelum menikah sangat dianjurkan. Hemofilia sendiri terbagi menjadi tiga jenis. Digolongkan berdasar tingkat pendarahan dan sukarnya darah membeku.
Hemofilia Ringan
Pada tingkat ini, penderita Hemofilia tidak memperlihatkan gejala apapun. Pasalnya jumlah faktor pembekuan darah berkisar antara 5-50%. Umumnya penderita Hemofilia ringan akan mengalami pendarahan cukup lama setelah melakukan operasi atau tindakan medis lainnya.
(ags/ags)
CERITA YUK!
Theme of The Month :
Theme of The Month :
Theme of The Month :
Theme of The Month :
Theme of The Month :